DR BAHER EMAD
Board-certified Pedodontist combining advanced clinical expertise with a gentle touch. From routine check-ups to complex surgical procedures under anesthesia, I specialize in making dental visits positive experiences for children—including those with special needs.
15+ Years Experience
Trusted clinical expertise
MSc Pediatric Dentistry
Al-Azhar University
Ministry of Health
Certified Dentist
EPDA & ESPSN Member
Professional associations
Comprehensive Dental Care
Combining advanced technology with years of clinical expertise to deliver exceptional care for every patient.
Pediatric Dentistry
Specialized gentle care for infants, children, and teens — creating positive dental experiences that last a lifetime.
General Dentistry
Comprehensive dental care including exams, fillings, and personalized treatment plans to maintain optimal oral health.
Cosmetic Dentistry
Enhance your smile with modern aesthetic treatments designed to improve confidence and appearance.
Oral Surgery
Advanced surgical procedures including extractions and root canal treatments performed with precision and care.
Orthodontic Solutions
Correct bite issues and alignment using modern orthodontic techniques for long-term comfort and function.
Preventive Care
Proactive treatments and patient education to prevent dental problems before they start.
15+ Years
Experience
Meet Your Dentist
Dr. BAHER EMAD
With over 15 years of clinical experience, Dr. BAHER EMAD is dedicated to providing exceptional dental care in a comfortable and welcoming environment. Holding a Master’s degree in Pediatric Dentistry from Al-Azhar University, he specializes in treating children while delivering comprehensive care for patients of all ages.
Known for her gentle approach and commitment to patient education, Dr. BAHER EMAD develops personalized treatment plans that prioritize long-term oral health, safety, and confidence.
Book AppointmentReal Patient Transformations
See the life-changing results achieved through advanced dental care and over 15 years of clinical expertise.

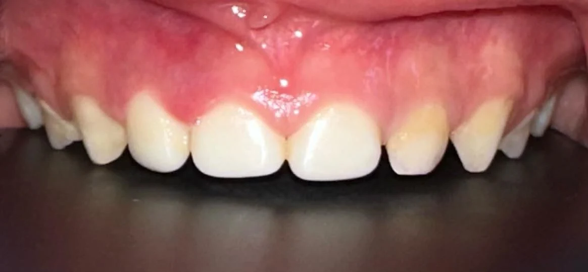
Case: Teeth Whitening
What Our Patients Say
Trusted by families and patients for over 15 years.
“Dr. BAHER EMAD treated my child with incredible patience and care. The entire experience was calm, professional, and far better than we expected. Highly recommend for families.”
“Very professional clinic and extremely clean. The treatment was painless and everything was explained clearly.”
Mona K.
“I used to fear dental visits, but this was honestly a comfortable experience. You can tell there is real expertise here.”
Karim S.
“Booked for a consultation and left with complete confidence in the treatment plan. Excellent communication.”
Nour A.